Invisalign

Få det smil, du drømmer om – uden at behandlingen påvirker din hverdag

Formål Tandretning med de gennemsigtige Invisalign-skinner
Resultat Flotte og helt lige tænder
Holdbarhed Permanent løsning
Tilskud
(medlemmer af “danmark”)
Få 50% af udgiften – dog max 25 kr. per skinne
Antal besøg Faglig individuel vurdering
Besøgstid per gang 30 – 60 minutter
Behandlingstid 6 – 24 måneder
Interval Faglig individuel vurdering

Høj kvalitet til fair pris

Danmarks førende tandlæge

Spar op til 40%

Vi prismatcher alle tandlæger i DK

‘Fremragende’ på Trustpilot

Flere end 500.000 patienter i DK

Invisalign

Invisalign er din usynlige behandling

Undgår du at smile, fordi dine tænder er skæve? Hos Godt Smil hjælper vi dagligt andre som dig.

Er du ked af skæve tænder, overbid, mellemrum mellem tænderne eller skæve tænder i undermunden?

Lad os hjælpe dig til FLOTTE og HELT LIGE tænder.

Måske tænker du, at tandregulering både er kompleks og tidskrævende – med din mund fyldt med metal og togskinner? Sådan behøver det ikke at være. Vi tilbyder en populær løsning.

Invisalign er en usynlig bøjle. Det betyder, at du kan fortsætte dit liv som hidtil, samtidig med at du får tilrettet dine tænder.

Vi tilbyder dog kun behandling med Invisalign til voksne patienter over 18 år.

Få billig finansiering

Betal din tandbehandling med LAVE månedlige ydelser

Hvad er en Invisalign-tandbøjle?

Invisalign er et verdenskendt og anerkendt højteknologisk tandreguleringssystem.

Hele 5 millioner mennesker verden over har fået nye smil med Invisalign.

Grunden til den store succes er, at deres usynlige bøjler både er effektive og meget diskrete.

Det betyder, at du kan få det smil, som du drømmer om, uden at det påvirker din hverdag. 

Specialdesignede skinner

Invisalign er gennemsigtige plastskinner, som fungerer som tandbøjler.

Skinnerne specieldesignes til dig.

De udskiftes cirka hver anden uge med et nyt skinnesæt – og retter gradvist dine tænder, indtil til det ønskede resultat er opnået.

Behandlingstiden med Invisalign er individuel og afhænger af dit tandsæt og tandstilling.

Et tandretningsforløb med Invisalign tager normalt fra 6 – 18 måneder.

Skinnerne er aftagelige, og det anbefales, at du bærer dem 20 – 22 timer i døgnet for at opnå et hurtigt resultat.

Du tager dem af, når du spiser, børster og renser tænder.

Se med her, hvor begejstret Thomas er for sin tandregulering:

tandregulering

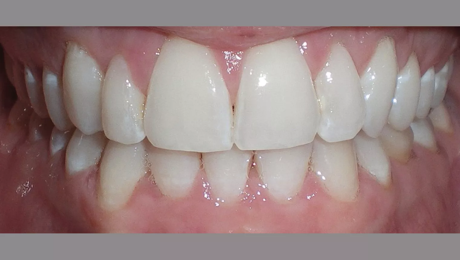
Flotte resultater med Invisalign

Efter
Før
Træk i pilen
Efter
Før
Træk i pilen

Hør her, hvor glad Sus har været for tandreguleringsbehandlingen:

Hvem har gavn af tandretning med Invisalign?

Invisalign anvendes til både mindre og større tandreguleringer.

Oftest anvendes behandlinger med Invisalign til kosmetisk tandregulering, både mindre og større.

Men det kan også være regulering af tandstilling på grund af fysiske komplikationer, som eksempelvis et skævt bid kan give.

Vi hjælper dagligt mange voksne med deres tandregulering og har stor erfaring i det. 

Ved din første konsultation hos tandlægen vejleder vi dig i, om tandretning med Invisalign er den rette behandling til dit behov.

Kontakt din lokale Godt Smil tandlæge her for at høre mere om Invisalign >>

Prisen på tandretning med Invisalign

Prisen på Invisalign er individuel og afhænger af omfanget af din tandregulering.

Ved din første konsultation hos os modtager du et prisoverslag sammen med din tandreguleringsplan.

Prisen for en behandling med Invisalign ligger gennemsnitligt mellem 15.000 – 40.000 kroner.

Få finansieret dine skinner

Hos Godt Smil tilbyder vi fordelagtig finansiering af din tandbehandling, så lad ikke økonomien holde dig tilbage fra at få det smil, du ønsker dig.

Du kan læse mere om finansiering af din tandregulering her.

Hvordan foregår en behandling med Invisalign?

1

Ved den første konsultation foretager tandlægen en vurdering af, hvorvidt en behandling med Invisalign er den rette behandling for dig. Vi gennemgår omfanget samt varigheden af dit forløb og udarbejder en tandreguleringsplan – samt giver et økonomisk overslag for din behandling. Herefter tages der røntgenbilleder og aftryk af dine tænder, som anvendes til senere fremstilling af dine individuelle Invisalign-skinner.

2

Når du modtager dine skinner, skal du udskifte dem hver anden uge med en ny skinne. Hver skinne retter dine tænder cirka mellem 0,2 – 0,3 millimeter. Ved nogle behandlingsforløb skal skinnen udskiftes hver uge. Dette er individuelt afhængig af omfanget af tandretningen. Du skal have skinnerne på 20 – 22 timer i døgnet.

3

Undervejs i din behandling skal du til konsultation hos din tandlæge. Vi kontrollerer, om din tandregulering forløber som planlagt. Antallet af konsultationer hos tandlægen er individuelt, men det er enten hver 4., 6., 8. eller 10. uge. Varigheden af behandlingen er individuel afhængig af omfanget af din tandregulering. Det tager dog normalt mellem 6 – 18 måneder.

4

Når slutresultatet er nået, er det vigtigt at vedligeholde dit nye smil. Dette gør du ved at bruge en natskinne eller ved at få sat en tynd metaltråd bag på tænderne (retentionsskinne), så tænderne fastholdes i deres nye positioner. Vi vejleder dig til den bedste løsning for dig.

Ofte stillede spørgsmål

Hvad skal du være opmærksom på ved tandregulering med Invisalign?

En tandretning med Invisalign kræver tålmodighed. For at få det hurtigste resultat skal du anvende tandbøjlen minimum 22 timer i døgnet.

Invisalign kræver en mindre tilvænningsperiode. I starten kan dine tænder føles ømme, og du kan opleve, at din udtale påvirkes i starten. Dog melder mange tilbage, at de ikke har problemer med udtale.

Når du bruger Invisalign, er det vigtigt, at du har ekstra fokus på din mundhygiejne. Især at dine tænder er rene, inden du tager dine skinner på.

Læs mere om Invisalign her.

Alternativer til tandretning med Invisalign

Ønsker du mindre, kosmetiske tandretninger, så kan det anerkendte In-line system måske være en god løsning til dig. Dette system minder på mange områder om Invisalign, dog er In-Line systemet beregnet til mindre tandretninger. 

Vil du vide mere om Invisalign?

Ønsker du at vide mere om behandling med Invisalign, kan du besøge Invisaligns hjemmeside her.

Hvad koster det at få Invisalign?

Prisen på en Invisalign-behandling afhænger af dit individuelle udgangspunkt.
Du skal dog forvente priser fra 25.000 kroner.

Ønsker du en nøjagtig pris, er det nødvendigt at blive undersøgt for en individuel plan og dertilhørende pris.

Kontakt os her på siden

Hvor længe holder Invisalign?

Efter endt behandling sikres dit resultat med skinner eller retainere.

De holder tænderne på deres plads, så du kan nyde dit nye smil uden at skulle bekymre dig om holdbarheden.

Det betyder, at din Invisalign-behandling holder så længe, tændernes holdes på plads efter endt behandling.

Kan alle få Invisalign?

Det kræver en undersøgelse af dit tandsæt for at kunne besvare, hvorvidt Invisalign er den rette behandling for dig.

Der findes flere andre måder at regulere og rette tænder på.

Har du større bidfunktionelle afvigelser – eller problemer med kæbeled og tyggemuskulatur – skal du igennem en større udredning/undersøgelse.

Hvad kan Invisalign?

Invisalign kan rette kosmetiske tandproblematikker, så du kan få det flotte smil, du altid har drømt om.

Det er en serie af gennemsigtige og aftagelige skinner, som bliver specialfremstillede til dine tænder.

De usynlige skinner retter altså dine tænder, så du får et flot og helt lige smil.

Hvor meget koster det at få bøjle på?

Det er meget individuelt, hvad det koster at få rettet tænder.

Det er også nødvendigt at vurdere, om de kan rettes med skinner, eller om det er nødvendigt med ”togskinner”.

Begge typer af behandling kræver en undersøgelse, inden der kan laves en endelig plan for din tandretning.

Når behandlingsplanen er lavet, får du den nøjagtige pris.

Er det gratis at få bøjle på?

Det er gratis at få bøjle på i den kommunale tandpleje, hvis det vurderes, at du har behov for bøjlebehandling, inden du fylder 18 år.

Ønsker du kosmetisk tandretning, skal du selv betale.

Se priser på Invisalign her

Forundersøgelse til tandregulering : Fra 495 kr. :
Tandregulering med aftagelige/usynlige skinner (Invisalign)* – pris fra : Fra 14.995 kr. :
Retentionstråd ved endt behandling (Invisalign) : Fra 3.495 kr. :

*Se forbehold ifm. tilskud, når enten gruppe 1, 2 eller 5 er udvalgt.

Tandforsikring:
Få dækket op til 60%

– og vær dækket allerede fra dag ét

Skal vi kontakte dig?

Udfyld formularen – så kontakter vi dig inden for 24 timer på hverdage.
Vi ringer / skriver normalt mellem kl. 8 – 16.