Aggressiv paradentose

Aggressiv paradentose

Aggressiv paradentose

Sådan genkender du den alvorlige tandkødssygdom

Høj kvalitet til fair pris

Danmarks førende tandlæge

Spar op til 40%

Vi prismatcher alle tandlæger i DK

‘Fremragende’ på Trustpilot

Flere end 500.000 patienter i DK

Aggressiv paradentose

Aggressiv paradentose er en alvorlig og hurtigt fremskreden tandkødssygdom.

Den inddeles i 3 grupper med baggrund for hvilken alder patienten har ved udbrud, hvor hurtigt det udvikler sig, om det er lokalt på enkelte tænder eller mere generelt i tandsættet. Sidst afhænger det også af forekomsten af inflammation, plak og tandsten.

Hvis du oplever smerte eller forandringer i tandkødet, kan det være vigtigt at kende symptomerne. Jo tidligere sygdommen opdages, desto bedre er mulighederne for at bevare tænderne.

Hvad er aggressiv paradentose?

Aggressiv paradentose er en betændelsestilstand, der angriber tandens støttevæv – som knoglen og tandkødet. Den kan opstå hos sunde og raske børn, unge og voksne, selvom de har en god mundhygiejne. Sygdommen kan have en arvelig karakter.

Den adskiller sig fra en almindelig paradentose ved at personerne er sunde og raske, ingen almensygdomme eller medicin som kan have en indvirkning.

Læs mere om almindelig paradentose, udvikling og behandling på vores side om paradentose.

Tandforsikring:
Få dækket op til 60%

– og vær dækket allerede fra dag ét

Inddeling af de tre grupper

Behandlingen af den aggressive paradentose afhænger af flere ting. Det er derfor vigtigt at have alle oplysninger inden man iværksætter den rigtige behandling.

Præpubertal parodontitis

  • Udbrud inden puberteten
  • Lokalt på enkelte tænder
  • Ses i mælketænder, men kan også ses i enkelte blivende tænder
  • Blødning i tandkødet
  • Rimelig respons på behandling

Juvenil parodontitis

  • Udbrud omkring puberteten (10-20-årsalderen)
  • Lokalt på enkelte tænder
  • Ses i mellemrummene i de blivende tænder, på mindst 2 tænder
  • Blødning i tandkødet
  • Rimelig respons på behandling

Adult hurtigt progredierende  parodontitis

  • Udbrud efter det fyldte 20. år
  • Generelt på flere tænder
  • Udbredt knogletab
  • Kraftig blødning fra tandkødet
  • Dårlig respons på behandling
  • Stort tilbagefald

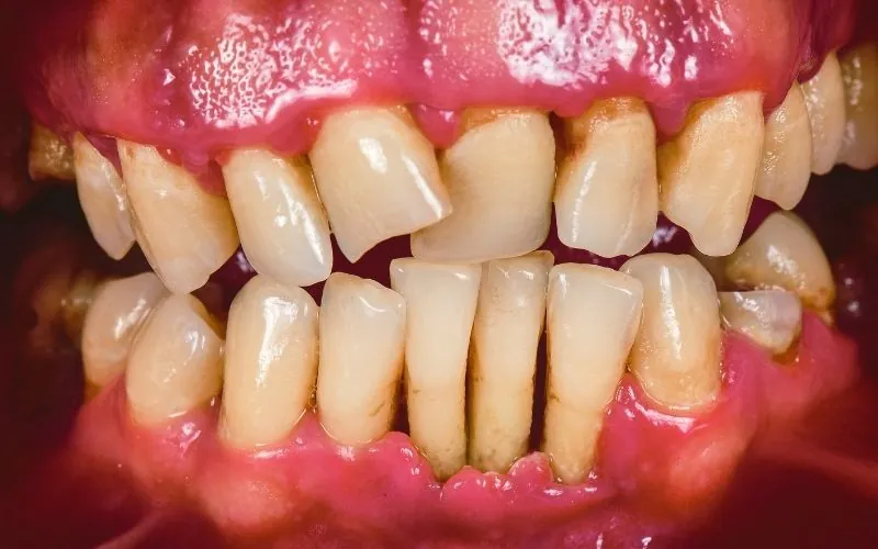
De mest almindelige symptomer på aggressiv paradentose

Aggressiv paradentose viser sig ofte ved en række tegn i tandkødet og tænderne.

1. Blødende tandkød

Et af de mest tydelige symptomer er, at tandkødet bløder ved tandbørstning eller når du bruger tandtråd og mellemrumsbørster. Det skyldes, at tandkødet er betændt og mere følsomt end normalt. Af og til ses ingen blødning ved tandbørstning men først når der laves eftersyn hos tandlægen med måling af tandkødslommer. På den måde kan sygdommen være skjult.

2. Rødt, ømt eller hævet tandkød

Betændelsen i vævet får tandkødet til at hæve og blive ømt ved berøring. Det har også en mørkere rød farve end sundt tandkød.

Du kan læse mere om dette i vores afsnit om begyndende paradentose.

3. Dårlig ånde og ubehagelig smag

Vedvarende dårlig ånde (halitosis) og en metallisk eller rådden smag i munden kan være tegn på betændelse i og omkring tandkødet.

4. Løse tænder og tandforskydning

Tænderne kan begynde at flytte sig eller føles løse – især hvis knoglen omkring roden er begyndt at nedbrydes. Tandkødslommerne har en dybde på minimum 6 mm – hos børn vil dette være mindre – og der mærkes ofte en synlig forskel i biddet.

5. Tilbagetrukket tandkød

Tandkødet trækker sig gradvist tilbage, hvilket får tænderne til at se længere ud. Tandroden bliver blottet og mere følsom over for varme og kulde.

6. Pus og betændelse

Der kan sive væske eller pus fra tandkødet, især omkring bestemte tænder.

7. Ændringer i bid og tyggefunktion

Tænderne passer måske ikke længere som tidligere, og du kan opleve smerter, når du tygger.

8. Tandbylder

Nogle patienter oplever hævede, ømme områder i tandkødet med pus – såkaldte tandbylder. Dette er tegn på en fremskreden infektion.

En tandbyld bør aldrig ignoreres da betændelsen kan sprede sig og påvirke din almene tilstand. Det er vigtigt at kontakte en tandlæge med det samme, så den rette behandling kan sættes hurtigt i gang.

9. Hurtigt tandtab

Aggressiv paradentose udvikler sig hurtigt – uden behandling kan det føre til, at én eller flere tænder mistes i løbet af få år.

Aggressiv paradentose

Hvorfor skal du tage symptomerne alvorligt?

Aggressiv paradentose kan hurtigt udvikle sig og give livsvarige problemer med tandsættet. Derfor er det vigtigt at reagere ved de første tegn og få en grundig tandlægeundersøgelse.

Professionel behandling kan i de fleste tilfælde bremse sygdommen eller sænke udviklings hastigheden og bevare dine tænder.

Hvordan behandles aggressiv paradentose?

Behandling består ofte af:

  • Grundig udvidet tandrensning med rod afglatning
  • Evt røntgenbilleder af de ramte tænder eller hele tandsættet
  • Antibiotika i nogle tilfælde
  • Paradentose kirurgi, hvis sygdommen er meget fremskreden
  • Instruktion i en god mundhygiejne med tandbørste og mellemrumsbørster
  • Opfølgninger hver 3. måned med udvidet tandrensning

Ofte stillede spørgsmål

Hvordan adskiller aggressiv paradentose sig fra almindelig paradentose?

Aggressiv paradentose kan opstå tidligere i livet og udvikler sig hurtigere. Der ses hurtigt knogletab, selv hos personer med god mundhygiejne.

Børn, unge og voksne kan rammes og der er ingen almensygdom eller medicin der kan relateres til den aggressive paradentose.

Hvornår starter aggressiv paradentose?

Typisk i teenageårene eller tidlig voksenalder. I nogle tilfælde allerede i barndommen.

Kan man få aggressiv paradentose, selvom man børster tænder regelmæssigt?

Ja. Sygdommen er ofte arvelig og skyldes særlige bakterier.

Hvordan opdager man aggressiv paradentose?

Ved regelmæssige tandeftersyn, hvor tandlægen kontrollerer tandkødslommer – ofte med røntgenbilleder.

Hvis et barn eller ung har gentagende blødende tandkød trods god mundhygiejne og ingen almensygdom eller medicin indtag.

Hvad sker der, hvis aggressiv paradentose ikke behandles?

Ubehandlet vil sygdommen føre til knoglenedbrydning, tab af tænder og i nogle tilfælde påvirke den generelle helbredstilstand.

Kort opsummeret

Hold øje med blødende eller hævet tandkød, løsning af tænder eller tandforskydning – især hvis du er ung.

Mistænker du symptomer på aggressiv paradentose, så kontakt tandlægen med det samme for en vurdering.

Få billig finansiering

Betal din tandbehandling med LAVE månedlige ydelser

Skal vi kontakte dig?

Udfyld formularen – så kontakter vi dig inden for 24 timer på hverdage.
Vi ringer / skriver normalt mellem kl. 8 – 16.