ClearCorrect

Få et flot smil – med en helt usynlig bøjle

Formål Tandretning med de gennemsigtige ClearCorrect-skinner
Resultat Flotte og helt lige tænder
Holdbarhed Permanent løsning
Tilskud
(medlemmer af “danmark”)
Få 50% af udgiften – dog max 25 kr. per skinne
Antal besøg Faglig individuel vurdering
Besøgstid per gang 30 – 60 minutter
Behandlingstid 6 – 18 måneder
Interval Faglig individuel vurdering

Høj kvalitet til fair pris

Danmarks førende tandlæge

Spar op til 40%

Vi prismatcher alle tandlæger i DK

‘Fremragende’ på Trustpilot

Flere end 500.000 patienter i DK

ClearCorrect

ClearCorrect

Er du ked af dine skæve tænder? Eller har du overbid / underbid? Så behøver du ikke at skulle leve med det resten af dit liv.

Vi kan med ClearCorrect tilbyde dig et af de bedste behandlingssystemer, der giver dig flotte og helt lige tænder.

Du behøver ikke gå med togskinner for at få det smil, du drømmer om. Med ClearCorrect er det både hurtigt og ukompliceret at få rettet dine tænder.

ClearCorrect er en usynlig tandbøjle, som er meget populær, både fordi den er effektiv og meget diskret. I Godt Smil tilbyder vi ClearCorrect, fordi det har vist sig som et meget effektivt og godt behandlingssystem – ligesom eksempelvis Invisalign.

Vi udfører kun behandling med ClearCorrect på voksne patienter over 18 år.

Få billig finansiering

Betal din tandbehandling med LAVE månedlige ydelser

Hør her, hvor begejstret Thomas har været for resultatet af sin tandregulering med Clear-Correct:

tandregulering

Hvad er en ClearCorrect-tandbøjle?

ClearCorrect er et etableret og anerkendt højteknologisk tandreguleringssystem udviklet af Straumann Group, der er blandt verdens førende leverandører af behandlingssystemer.

ClearCorrect anvendes typisk til både lette og medium-svære tandreguleringsbehandlinger.

Skinnerne skal udskiftes med et nyt skinnesæt cirka hver anden uge – og retter gradvist dine tænder, indtil vi opnår det ønskede resultat.

Behandlingstiden med ClearCorrect er individuel og afhænger af dit tandsæt og tandstilling.

Et tandretningsforløb med ClearCorrect tager normalt fra 6 – 18 måneder, men det afhænger også meget af, hvor motiveret du selv er undervejs i behandlingen.

Vi anbefaler, at du bærer dem mellem 20 og 22 timer i døgnet for at få det bedste resultat.

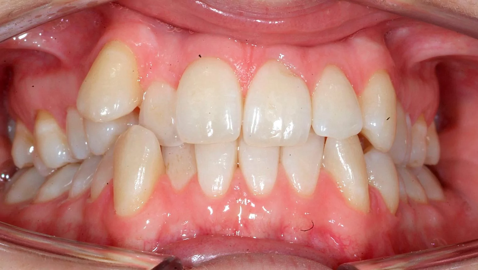
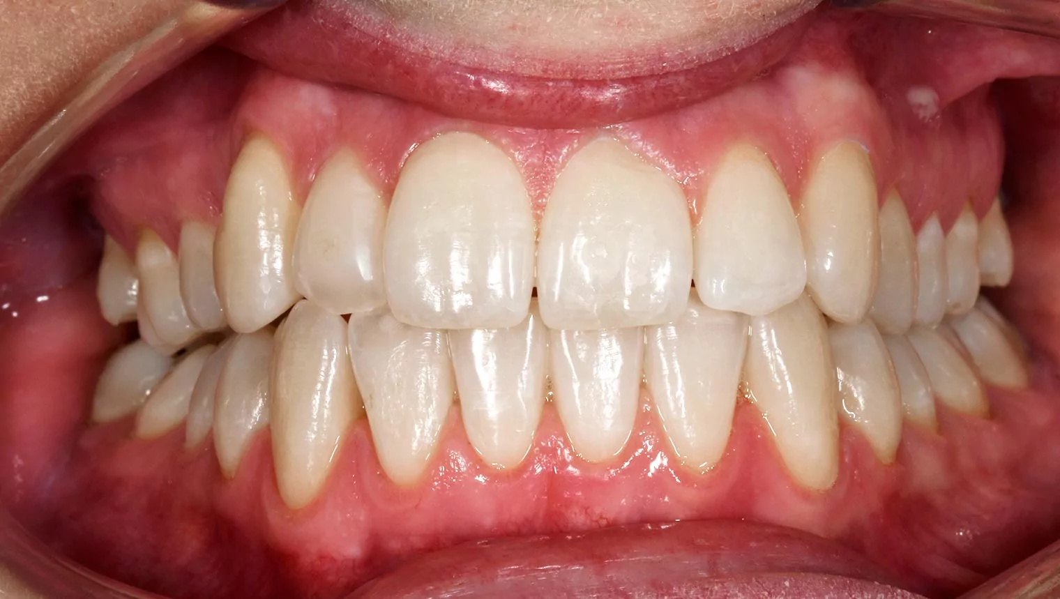
Før og efter behandling med ClearCorrect

Se nogle af de flotte resultater med ClearCorrects usynlige skinner her.

Efter
Før
Træk i pilen
Efter
Før
Træk i pilen
Efter
Før
Træk i pilen
Efter
Før
Træk i pilen
Efter
Før
Træk i pilen
Efter
Før
Træk i pilen
Efter
Før
Træk i pilen

Hør, hvor glad Sus har været for ClearCorrect-behandlingen

Fordele ved ClearCorrect

  1. Gennemsigtige og dermed næsten usynlige tandbøjler
  2. Du kan tage dem af, når du spiser
  3. Du kan sagtens bruge tandtråd eller børste dine tænder
  4. Kontrolleret enkelt-tand bevægelse
  5. Et gennemprøvet system ejet af Straumann Group – en af de førende leverandører inden for behandlingssystemer
1

ClearCorrect er komfortable

ClearCorrect er mere behagelige at have på end de almindelig togskinner eller metalbøjler.

2

ClearCorrect er aftagelige

ClearCorrect er lette at tage af. Det vil også sige, at du stadig kan spise alt det, du kan lide. Samtidig er der ingen rester, der bliver hængende i tandbøjlen.

3

ClearCorrect er usynlige

Med ClearCorrect kan du roligt vise dit smil, da det er de færreste, der kan se, at du har bøjlen på.

Kan jeg få rettet mine tænder med ClearCorrect?

Vi hjælper dagligt mange voksne med tandregulering, og vi har stor erfaring med det. 

Ved din første konsultation hos tandlægen vejleder vi dig i, om tandretning med ClearCorrect er den rette behandling til dit behov – eller om der er andre behandlinger, der er bedre for dig.

ClearCorrect anvendes til både større og mindre tandreguleringer. Skinnerne er mere behagelige at have på sammenlignet med skinner af metal.

Derudover er ClearCorrect-tandbøjlerne aftagelige, og derfor kan du fortsat spise det, du har lyst til, uden at du skal tage hensyn til, om der er mad, der sætter sig fast i bøjlen.

Skinnerne er utroligt diskrete, og du kan stolt vise dit smil frem, da andre ikke vil lægge mærke til, at du har en usynlig tandbøjle på.

Behandlinger med ClearCorrect anvendes ofte til både større og mindre kosmetisk tandregulering.

 Kontakt din lokale Godt Smil tandlæge her for at høre mere om ClearCorrect >>

Tandretning 1

Tandretning 2

Følgende tandstillinger kan behandles med ClearCorrect:

  1. Skæve tænder.
  2. Overbid (dybt bid).
  3. Underbid.
  4. Mellemrum mellem tænderne.
  5. Åbent bid, når nogle tænder i over- og undermund ikke er i kontakt med hinanden.
  6. Krydsbid, når øvre og nedre kæbe er skæve.
  7. Tætsiddende tænder, når tænderne skubbes ind over hinanden pga. for lille kæbe.
  8. Hvis du tidligere har fået tandregulering, hvorefter tænderne gradvist har rykket sig igen.

Prisen på tandretning med ClearCorrect

Prisen på ClearCorrect er individuel og afhænger af omfanget af din tandregulering. Ved din første konsultation hos os modtager du et prisoverslag sammen med din tandreguleringsplan.

Prisen for en behandling med ClearCorrect ligger gennemsnitligt mellem 15.000 – 40.000 kroner.

Få finansieret dine skinner

Lad ikke økonomien holde dig tilbage fra at få det smil, du ønsker dig. 

Hos Godt Smil tilbyder vi fordelagtig finansiering af din tandbehandling.

Tandbehandling med ClearCorrect kan finansieres via vores samarbejdspartner Patientlån fra kun 302 – 776 kroner per måned. Se betingelser og vilkår for Patientlåns lån her.

Hvordan foregår en behandling med ClearCorrect?

1# Indledende konsultation + information og røntgen 

Ved den første konsultation bliver der taget kliniske fotos, røntgenbilleder og digitale scanninger af dine tænder.

Disse registreringer benyttes til at udarbejde en behandlingsplan, som er skræddersyet til dig og dit behov, så du får dit ønskede resultat.

Cirka én uge efter første konsultation og dit digitale aftryk er din behandlingsplan klar. Denne indeholder både omfanget og varigheden af din behandling samt en fast pris.

2# Modtagelse af skinner

Når du modtager dine skinner, skal du udskifte dem med en ny skinne hver anden uge.

Ved nogle behandlingsforløb skal skinnen udskiftes hver uge.

Hver skinne retter dine tænder cirka mellem 0,2 – 0,3 millimeter.

Dette er individuelt afhængig af omfanget af tandretningen.

Du skal have skinnerne på 20 – 22 timer i døgnet.

3# Løbende konsultationer

Undervejs i din behandling skal du til konsultation hos din tandlæge.

Vi kontrollerer, om din tandregulering forløber som planlagt.

Antallet af konsultationer hos tandlægen er individuelt, men det er enten hver 4., 6., 8., eller 10. uge.

Varigheden af behandlingen er individuel og afhængig af omfanget af din tandregulering. 

Det tager dog normalt mellem 6 – 18 måneder.

Jo bedre og mere omhyggelig du selv er i forhold til at børste tænder og holde mundhygiejne, jo bedre bliver resultatet.

4# Slutresultatet

Når slutresultatet er nået, er det vigtigt at vedligeholde dit nye smil.

Dette gør du ved at bruge en natskinne eller ved at få sat en tynd metaltråd bag på tænderne (retentionsskinne), så tænderne fastholdes i deres nye positioner.

Vi vejleder dig til den bedste løsning for dig.

Før og efter behandling med ClearCorrect

Efter
Før
Træk i pilen

Hør, hvor glad Sus har været for ClearCorrect-behandlingen

Ofte stillede spørgsmål

Hvad skal du være opmærksom på ved tandregulering med ClearCorrect?

Du skal være opmærksom på, at selvom ClearCorrect er et fremragende system, så får du kun du det bedste resultat, jo mere motiveret du selv er.
Jo mere du bruger tandbøjlen, jo bedre og hurtigere et resultat får du. Vi anbefaler, at du anvender tandbøjlen minimum 22 timer i døgnet.

Du skal også være opmærksom på, at det kræver lidt tilvænning at bruge ClearCorrect – men det gør det også med andre systemer til tandregulering som fx Invisalign. Dine tænder kan i starten føles ømme. Det skyldes, at tænderne rykkes, og at det dermed virker. Nogle få oplever, at deres udtale påvirkes lidt i starten.

Samtidig skal du undervejs i behandlingen have ekstra fokus på din mundhygiejne. Du skal især have fokus på, at dine tænder er rene, inden du tager dine skinner på.

Læs mere om ClearCorrect her.

Alternativer til tandretning med ClearCorrect

Det kan godt være, at du kun har behov for en mindre kosmetisk tandretning. Så vil vores tandlæger kunne anbefale dig det anerkendte In-Line system, der kan være en god løsning til dig.

Har du brug for en mere kompliceret behandling, som ikke kan klares med ClearCorrect, så vil vores tandlæger henvise dig til en specialtandlæge, sådan at vi sikrer, du får den optimale behandling. 

Se priser på ClearCorrect her

Forundersøgelse til tandregulering : Fra 495 kr. :
Tandregulering med aftagelige/usynlige skinner (ClearCorrect) – pris fra : Fra 14.995 kr. :
Retentionstråd ved endt behandling (ClearCorrect) : Fra 2.495 kr. :

Tandforsikring:
Få dækket op til 60%

– og vær dækket allerede fra dag ét

Skal vi kontakte dig?

Udfyld formularen – så kontakter vi dig inden for 24 timer på hverdage.
Vi ringer / skriver normalt mellem kl. 8 – 16.