Begyndende hul i en tand?

Hvis du har mistanke om huller, kan du her blive meget klogere.


Hvis du har mistanke om begyndende huller, kan du her blive meget klogere.

Læs i det følgende, hvad du med fordel selv kan gøre – og ikke mindst bør være opmærksom på.

Begyndende hul i en tand

Begyndende huller i tænderne kan behandles effektivt med fluorbehandling hos tandlægen, samt effektiv rengøring hjemme. Jo hurtigere man sætter ind og jo mere effektiv man holder rent, jo større er chancen for, at det begyndende hul bliver inaktivt, så der ikke skal en fyldning i.

Her er det dog meget vigtigt, at du har en god mundhygiejne – ellers vil hullet med stor sandsynlighed udvikle sig til et større hul, som tandlægen skal bore væk.

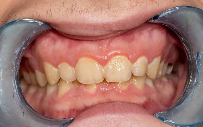
begyndende hul i en tand

Vidste du?

En god mundhygiejne vil efterlade partikler fra din fluortandpasta i dit spyt, som kan være med til at reparere cariesangrebet.

For at forstå, hvordan et hul begynder, skal man vide, at tandens yderste lag består af emalje. Emalje består af mineral.

Et begyndende hul opstår ved, at der samler sig bakterier på dine tænder, som ikke fjernes. Dagligt samler der sig bakterier på dine tænder. Disse bakterier lever af sukker og udskiller derefter syre.

Syreren laver en demineralisering af emaljen, som langsomt bliver tyndere og tyndere, til der til sidst kommer brud på overfladen.

Har du begyndende hul i en tand?

Her er, hvad du skal være opmærksom på:

1) Isninger og jag, når du indtager sødt eller surt.

2) Ømt eller hævet og blødende tandkød lokalt ved en tand.

3) Vær opmærksom på mundtørhed, da det kan give større cariesaktivitet.

Begyndende huller i tænderne kan holdes nede og gøres inaktive så de ikke skal bores og fyldes med plast.

Er der endnu ikke kommet hul på overfladen af tanden, kan du med fordel gøre brug af fluortandpasta ved tandbørstning 2 gange dagligt – og husk at supplere med tandtråd.

Har du et hul i tanden?

Er skaden sket, er det vigtigt at standse ulykken. Få lavet hullet, inden det udvikler sig, da du kan risikere behov for større og dyrere tandbehandling.

Nogle mærker svage tegn på hullet. Andre mærker intet, før tanden knækker.

Ved at komme til dine regelmæssige tandeftersyn sikrer du, at ingen huller overses. Således kan du forebygge i tide og garantere dig selv en sund mund.

Sådan undgår du huller

1) Brug en fluorholdig tandpasta (1450 ppm fluorid).

2) Børst tænder 2 gange dagligt i minimum 2 minutter.

3) Husk at børste alle tandens flader (tyggeflade, kindflade, tungeflade).

4) Suppler med tandtråd eller mellemrumsbørster imellem tænderne.

5) Vær opmærksom på mundtørhed, da dette giver større risiko for tandsygdomme.

6) Børster du tungen, holder munden sig frisk længere.

Begyndende huller i tænderne hos børn

Det er ikke ualmindeligt at se begyndende huller hos børn. Det er vigtigt at sikre nogle gode rutiner og vaner hos dine børn, som de kan tage med sig, når de bliver ældre.

Ved at undgå huller og tandsmerter hos dit barn forebygger du dårlige oplevelser – og risikoen for udvikling af traumer og tandlægeskræk, som barnet kan kæmpe med resten af livet.

Vi anbefaler, at du hjælper dit barn med at børste tænder, indtil barnet fylder 12 år.

Det skyldes, at barnets finmotorik ikke er tilstrækkeligt udviklet indtil da.

Ofte stillede spørgsmål om begyndende hul i en tand

Kan begyndende huller forsvinde?

Det korte svar er nej. Et begyndende hul forsvinder ikke. Hvis det fortsat er begyndende, kræver det ikke behandling.

Et begyndende hul skal altså bores væk. Kommer der brud på tandoverfladen, er hullet ikke længere kun begyndende, og tandbehandling er nødvendig.

Læs mere om begyndende hul i en tand her.

Kan man stoppe et hul i tanden?

Ja, du kan faktisk godt stoppe et begyndende hul i at udvikle sig til et egentligt hul. Dette kan meget vel lykkes ved optimal mundhygiejne.

Har du ikke optimal mundhygiejne, og har du et begyndende hul, vil du kunne risikere, at dit begyndende hul bliver til et hul med brud på tandens overflade, og så er muligheden for at stoppe hullet forbi.

Hvordan kan man mærke et hul i en tand?

De fleste mærker isninger eller jag, når de spiser eller drikker surt eller sødt. Andre mærker absolut ingenting. Er du i tvivl, om du har et hul, bør du få det tjekket.

Selv hvis du har et hul, som du kun mærker i perioder, kan det pludselig give akutte smerter. Du kan også risikere at få en tandbyld ved at gå med et ubehandlet hul længe.

Er det normalt at have hul i tænderne?

Ja, det er ganske normalt at have hul i tænderne. Hvis du ikke selv har prøvet at have et hul, så kender du med sikkerhed en, der har. Det er normalt ikke noget, vi taler så meget om.

Mange skammer sig over at have huller i tænderne. Det kan ikke betale sig. Flere, end du tror, har huller i deres tænder.

Hvad sker der, hvis du har hul i tænderne?

Der kan ske det, at du mærker periodevise jag fra tanden, ømhed fra tandkødet, og i værste tilfælde kan du opleve, at tanden knækker, eller at der opstår en tandbyld.

Hvis du venter, til du får stærke smerter, kan du næsten være sikker på stor risiko for at miste tanden.

Kan caries børstes væk?

Ja, begyndende caries kan børstes væk.

En god mundhygiejne i form af tandbørstning med fluortandpasta og brug af tandtråd vil efterlade partikler fra din fluortandpasta i dit spyt, som kan være med til at reparere cariesangrebet.

Hvor lang tid tager det at få hul i en tand?

Svaret er, at det er individuelt. Forskellige faktorer spiller ind:

1) Mundhygiejne – brug af fluortandpasta tilrådes og supplement af tandtråd.

2) Kost og drikke – søde sager især ofte i relation med manglende tandbørstning.

3) Medicin – især medicin som udløser mundtørhed eller kroniske sygdomme.

4) Genetik – forældre og søskende med stor cariesaktivitet.

5) Tandhistorik – har du mange begyndende huller, vil det kunne gå hurtigt.

Er et hul i tanden akut?

Et hul i en tand kan blive akut. Når noget er akut, er det ofte udløst af smerter. Et hul i en tand er ikke altid ledsaget af smerter.

Men selv et hul i en tand uden smerter kan risikere at blive akut, hvis den ikke behandles i tide.

Kan man få lavet hul uden bedøvelse?

Bedøvelse har to funktioner. Den ene er at sikre en smertelindret tandbehandling. Den anden er at minimere eventuel blødning. Skal du bores nær dit tandkød, kan en bedøvelse være nødvendig.

Man kan dog godt få lavet et hul uden bedøvelse, hvis man ikke ønsker at blive stukket. Nogle synes, stikket gør ondt. Vidste du, at der findes overfladebedøvelse til at tage smerten fra stikket?