syreskader

syreskader

Syreskader

I de seneste år er syreskader blevet et hyppigere problem hos patienterne.

Dette kan der være mange årsager til, men én af dem er, at der bliver drukket sodavand og andre syreholdige drikke i større mængder end tidligere, som rammer tænderne hårdt. 


Hvad er syreskader?

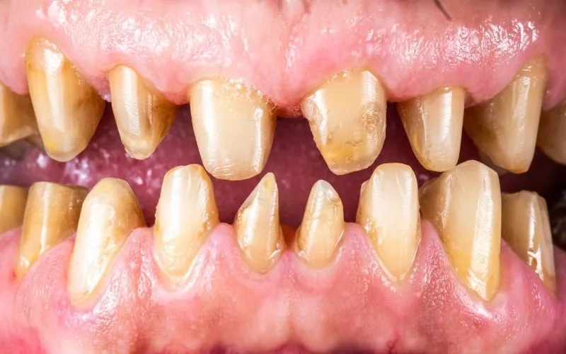
Hvis der er syreskader på tænderne, betyder det, at syren har ætset en del af tandemaljen væk.

Dette sker, hvis tænderne over en længere periode er blevet udsat for syre fra for eksempel sodavand, juice, energidrikke, surt slik og mavesyre.

Det er dog en udbredt misforståelse, at det blot er sodavand, der fører til syreskader på tænderne, da også fødevarer som forskellige typer af frugt fx – æbler, bananer og appelsiner, indeholder syre, der kan skade emaljen på tænderne.

Når tænderne bliver udsat for syre, bliver den yderste del af tanden opløst, og denne kan ikke gendannes. Man kan opleve at den nederste del af tænderne bliver helt gennemsigtig, tænderne får et glasagtigt udseende.

syreskader

Jo mere syre der er i den pågældende drikke- eller fødevare, og jo oftere den bliver indtaget, jo større vil tabet af emaljen være.

Kontakt os, hvis du har mistanke om syreskader på tænderne >>

Hvordan får man syreskader på tænderne?

Hvis man ofte indtager føde- eller drikkevarer med et højt syre indhold med en pH-værdi under 5.

Hvis man derudover har tendens til at have en tør mund og derfor ikke producerer nok spyt til at beskytte tænderne, kan dette også øge risikoen for at få syreskader på tænderne. Man kan dog hjælpe spytproduktionen på vej ved at indtage mere vand i løbet af dagen.

Hyppig opkast under graviditet eller sygdom kan også give syreskader. Det samme er gældende for mavesyre da den danner en syrlig damp som ætser tænderne. Disse syreskader vil primært ses på bagsiden af tænderne.

Sådan undgår du syreskader

Når der først er opstået syreskader på tænderne, er det desværre ikke muligt at genopbygge emaljen på tænderne.

  • Undgå syre: Det vigtigt at undgå ting som; syreholdige læskedrikke som fx sodavand, juice og energidrikke, syrligt slik og syrlige frugter i større mængder.
  • Drik hurtigt: Hvis der drikkes syreholdige læskedrikke, kan man dog med fordel drikke dem hurtigt og i store slurke.
  • Skyl munden med vand: Vigtigst er at man altid skyller munden grundigt med vand bagefter, for at neutralisere syren så hurtigt som muligt
  • Brug sugerør: Derudover kan den syrlige væske drikkes med sugerør, da man på den måde får den forbi tænderne og derved skader dem mindst muligt.
  • Vent 1 time: Vent 30-60 minutter med at børste tænder efter indtag af syreholdige fødevarer. Når pH’en i munden er lav, bliver tændernes overflade blødere, og ved at børste på dem kan man forværre syreskaderne endnu mere. Vent til pH igen er neutral så tandoverfladen er hård.
  • Fluortandpasta: Brug fluortandpasta 2 gange dagligt på en blød tandbørste. Din tandpasta skal indeholde 1450 ppm fluorid.
  • Mavesyre neutraliserende: Kontakt din læge for at få tabletter mod mavesyre. Har du meget mavesyre vil den syrlige damp kunne ætse tændernes bagside.

Sådan behandles syreskader

Behandling af syreskader afhænger af, hvor svært tænderne er ramt. Din tandlæge vurderer tændernes tilstand og anbefaler en behandling, der passer til netop dine behov.

Tidlige syreskader

Ved begyndende syreskader er tandemaljen kun let nedslidt. Tænderne kan føles mere følsomme over for kulde, varme eller søde sager. Behandling kan være:

  • Fluorbehandling
  • Kostrådgivning og ændring af vaner – fx at skære ned på syreholdige drikke og tygge sukkerfrit tyggegummi.

Moderate skader

Ved mere fremskredne skader begynder emaljen at forsvinde, og tandsubstansen bliver synligt påvirket. Ofte er der også begyndende slid på tyggefladerne. Behandling kan være:

  • Små plastfyldninger
  • Fluorbehandling
  • Plastfacader
  • Bideskinne – særlig relevant, hvis der samtidig er natlig tænderskæren.

Alvorlige syreskader

Ved alvorlige skader er store dele af tænderne nedslidt, flere kan være halveret i størrelsen. Behandling kan være:

  • Kroner eller større fyldninger.
  • Facader – især på fortænderne.
  • Protese- eller implantatløsninger.

I særligt fremskredne tilfælde kan det blive nødvendigt med en hel- eller delprotese.

Kontakt din Godt Smil-tandlæge her for at høre mere om behandlingsmulighederne >>